کشیدن دندان عقل نهفته | دکتر حامد محمودی جراح فک و صورت
کشیدن دندان عقل نهفته یکی از رایجترین جراحیهای دندانپزشکی است که بسیاری از افراد به آن نیاز پیدا میکنند. در این مقاله به بررسی مشکلات دندان عقل، روشهای درمان، نکات مهم پیش و پس از جراحی، و پاسخ به سوالات متداول پرداخته شده است.
دکتر حامد محمودی، جراح فک و صورت، با سالها تجربه آماده ارائه بهترین خدمات درمانی به شماست.
مشکلات دندان عقل پایین نهفته
دندانهای عقل آخرین دندانهایی هستند که در فک رشد میکنند و معمولاً فضای کافی برای رشد طبیعی آنها وجود ندارد. به همین دلیل، دندان عقل ممکن است به صورت نهفته، نیمهنهفته یا در موقعیت نامناسب رشد کند.
این وضعیت میتواند باعث بروز مشکلاتی مانند درد، تورم، عفونت، پوسیدگی دندانهای مجاور و حتی تشکیل کیست شود.
آیا باید به متخصص مراجعه کنم؟
در برخی موارد، کشیدن دندان عقل به سادگی توسط دندانپزشک عمومی قابل انجام است، اما اگر دندان عقل پیچیده یا در موقعیت خاصی باشد، مراجعه به جراح فک و صورت مانند دکتر حامد محمودی توصیه میشود.
متخصصان با تجربه، ریسکهای جراحی را به حداقل رسانده و روند بهبود بهتری را فراهم میکنند.
درمان و روشهای کشیدن دندان عقل نهفته
کشیدن دندان عقل نهفته ممکن است شامل برش لثه و برداشتن استخوان اطراف دندان باشد. در بعضی موارد، دندان به قطعات کوچکتر تقسیم شده و سپس خارج میشود.
عمل جراحی معمولاً با بیحسی موضعی یا آرامبخش انجام میشود.
خطرات احتمالی کشیدن دندان عقل
-
خونریزی موقتی
-
بیحسی یا سوزنسوزن شدن در نواحی لب، چانه یا زبان (موقتی یا در موارد نادر دائمی)
-
عفونت محل جراحی
-
حفره خشک (Dry Socket)
-
تضعیف و شکستگی نادر فک
کورونکتومی: گزینهای برای محافظت از عصب
در مواردی که دندان عقل به عصب نزدیک باشد، کورونکتومی توصیه میشود؛ یعنی برداشتن تاج دندان و باقی گذاشتن ریشهها تا از آسیب عصبی جلوگیری شود.
نکات مهم پس از جراحی
-
استفاده از کیسه یخ در 24 ساعت اول
-
رعایت رژیم غذایی نرم تا بهبود کامل
-
شستشوی ملایم محل جراحی با آب نمک یا دهانشویه
-
خودداری از سیگار کشیدن به مدت چند روز
-
استراحت کافی و پرهیز از فعالیتهای سنگین
چه نوع بیحسی استفاده میشود؟
-
بیحسی موضعی
-
بیحسی موضعی همراه با آرامبخش داخل وریدی
-
بیهوشی عمومی (در موارد خاص و با نظر جراح)
مدت زمان کشیدن دندان عقل
کشیدن دندان عقل ممکن است بین چند دقیقه تا حدود ۲۰ دقیقه طول بکشد، بسته به پیچیدگی جراحی.
آیا پس از جراحی باید مرخصی بگیرم؟
بله، معمولاً چند روز مرخصی توصیه میشود تا بیمار بتواند استراحت کند و بهبودی کامل حاصل شود.
سوالات متداول (FAQ)
س: آیا کشیدن دندان عقل دردناک است؟
ج: با استفاده از بیحسی مناسب، حین جراحی درد احساس نمیشود. پس از جراحی، درد خفیف تا متوسط معمول است که با داروهای مسکن کنترل میشود.
س: آیا عفونت بعد از جراحی رایج است؟
ج: احتمال عفونت کم است، اما با مراقبت مناسب و رعایت بهداشت دهان میتوان آن را به حداقل رساند.
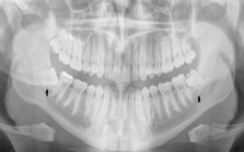
س: آیا باید قبل از جراحی عکس رادیولوژی بگیرم؟
ج: بله، عکس رادیولوژی به تشخیص دقیق موقعیت دندان و تصمیمگیری درباره نوع جراحی کمک میکند.
تماس با دکتر حامد محمودی
برای مشاوره تخصصی و تعیین وقت جراحی کشیدن دندان عقل نهفته، با مطب دکتر حامد محمودی، جراح فک و صورت تماس بگیرید:
📞 شماره تماس: 02191001949
📍 آدرس: بلوار اندرزگو تقاطع قیطریه رو به روی ساختمان ریبون نبش خسروی جنوبی پلاک 2طبقه4
🌐 وبسایت:drhamedmahmoudi.com
دیدگاه کاربران
دیدگاهی ثبت نشده!
فرم ارسال نظر
فرم ارسال نظر