مشاوره رایگان :

02191001949

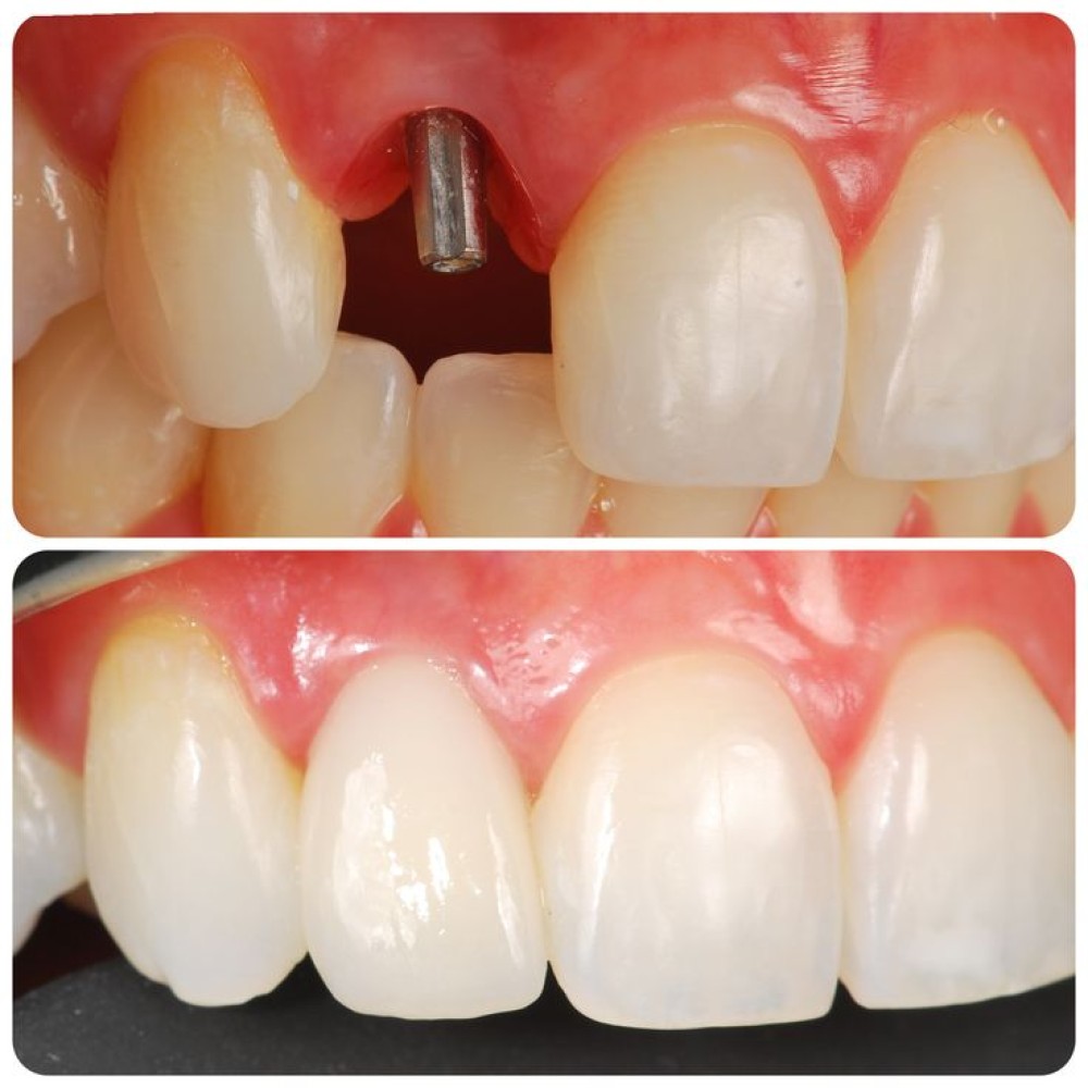
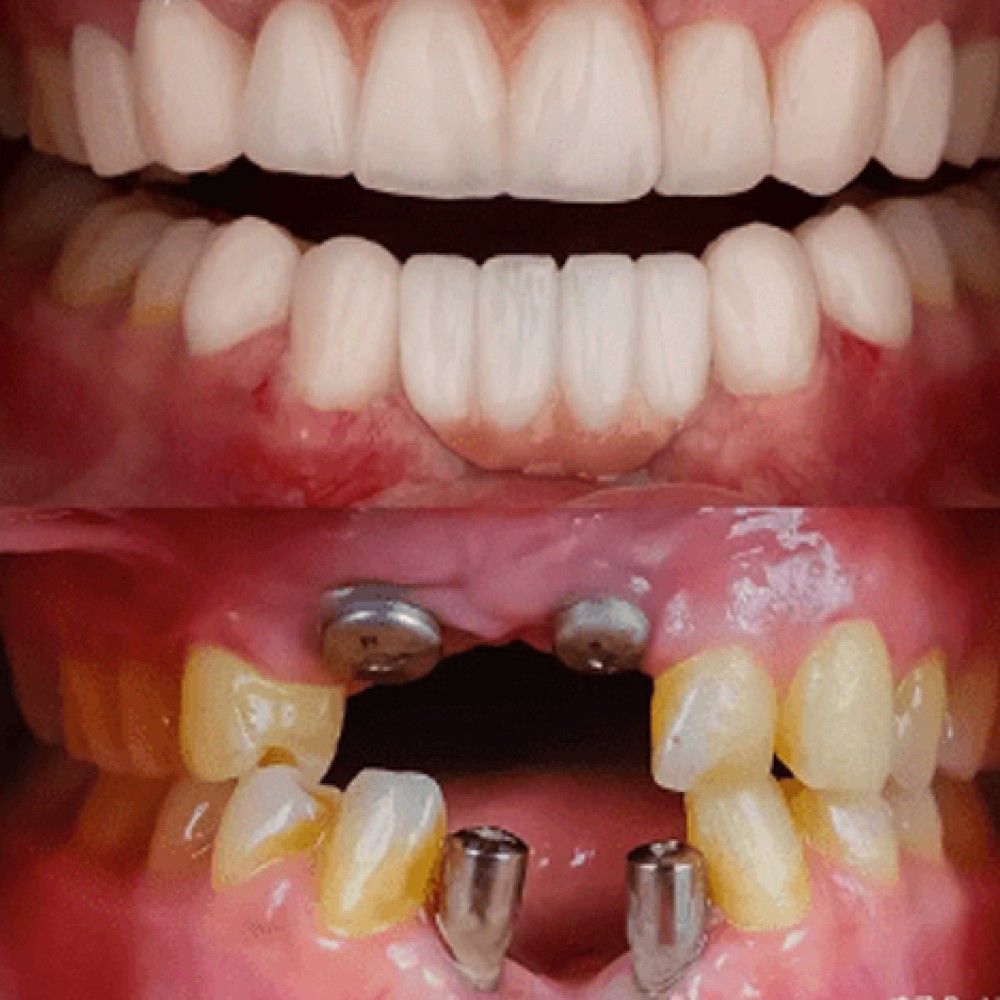
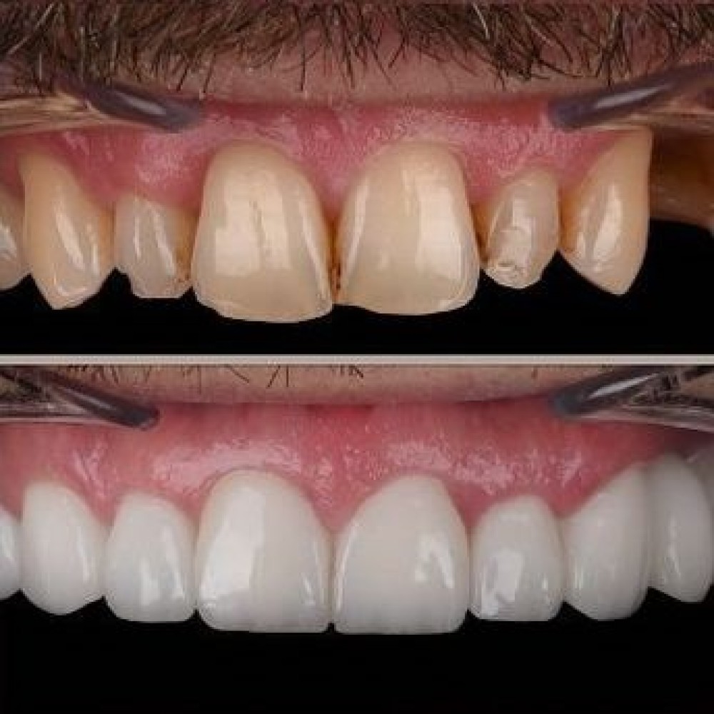
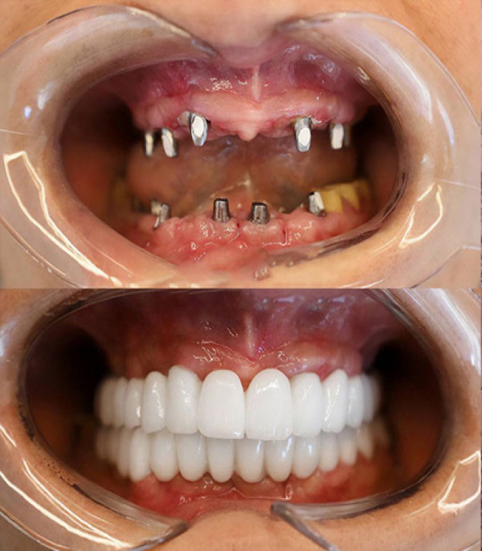
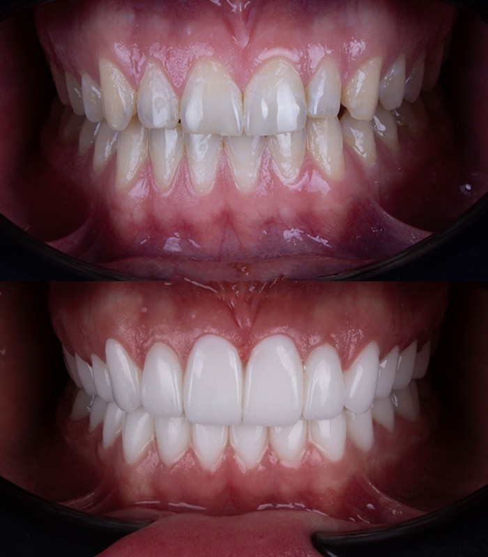
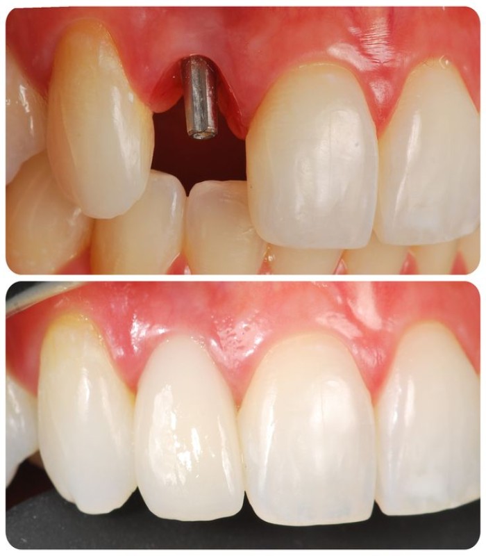
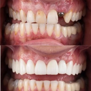
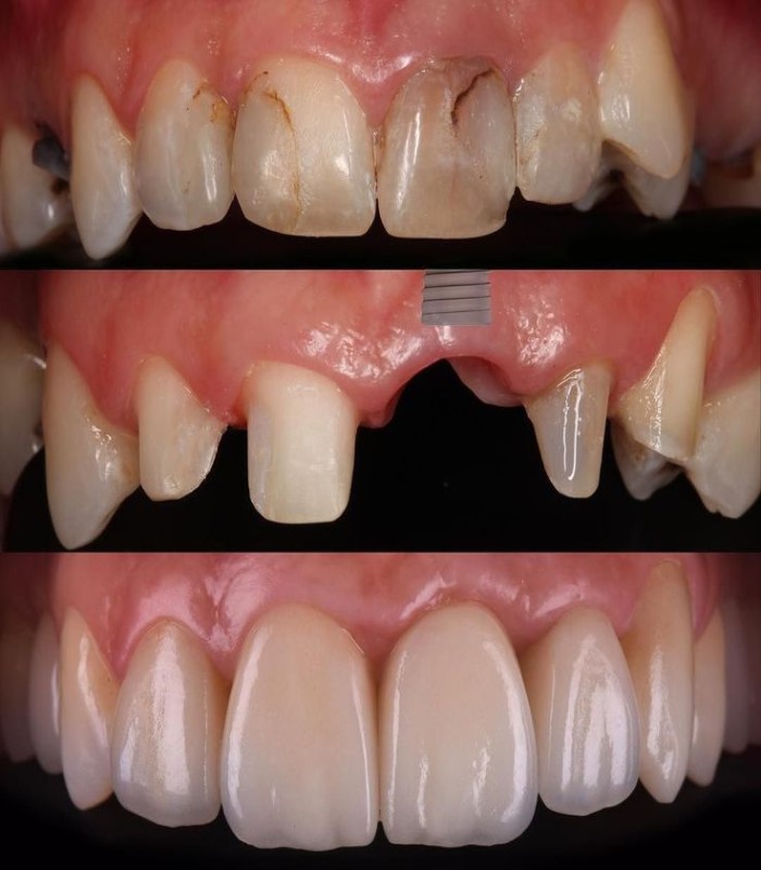
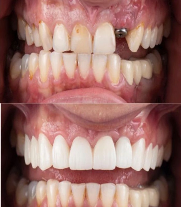
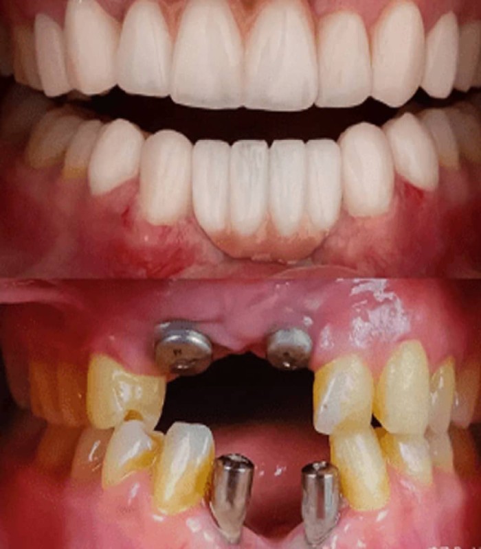
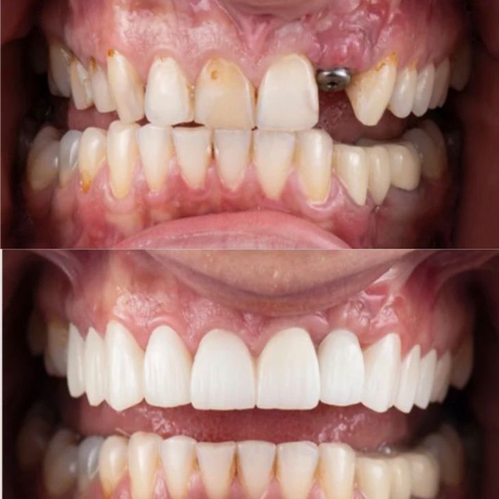
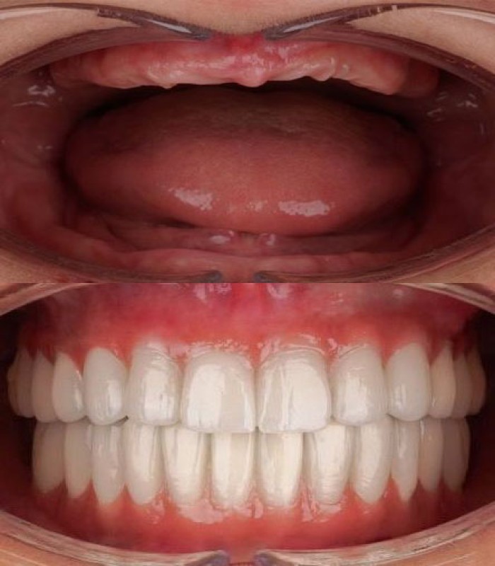
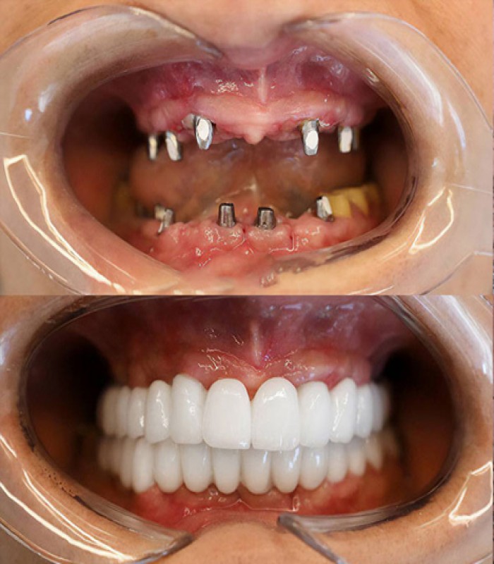
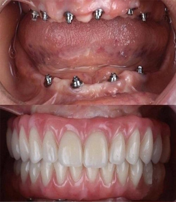
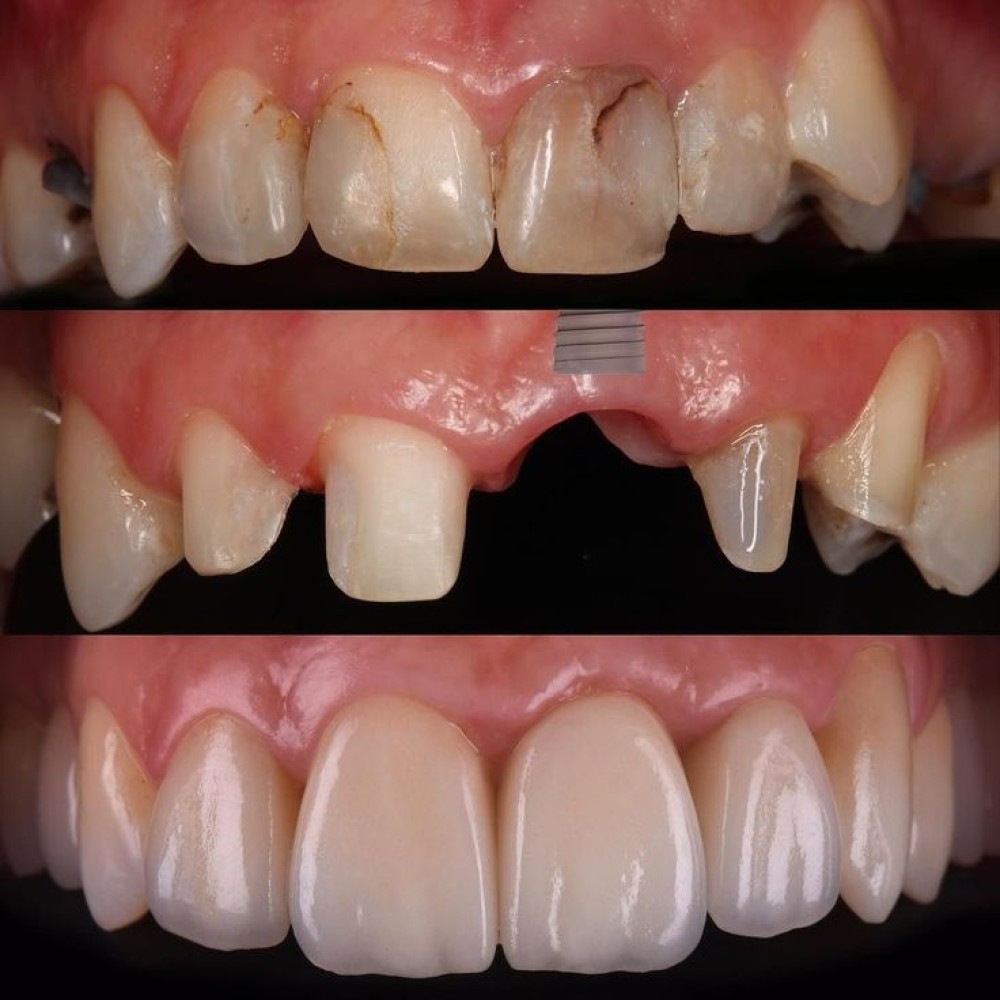
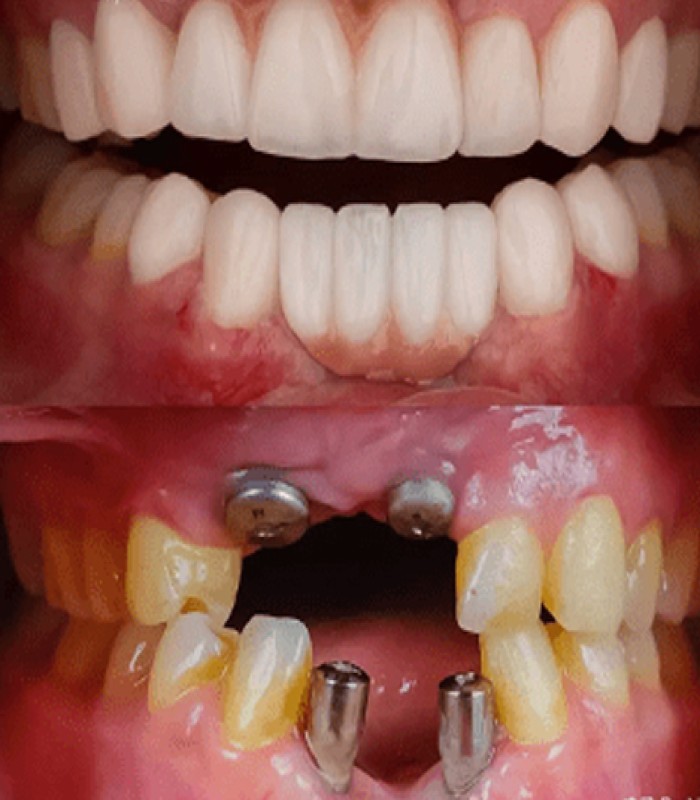
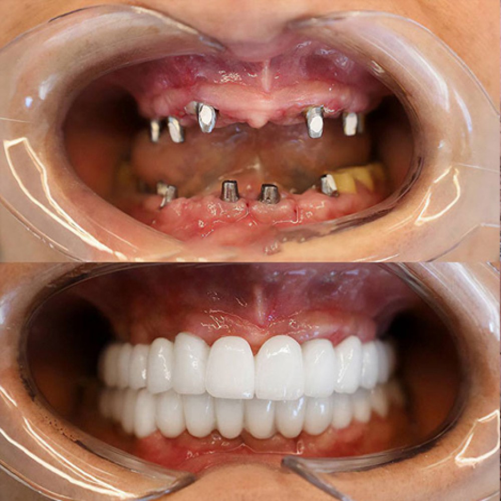
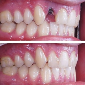
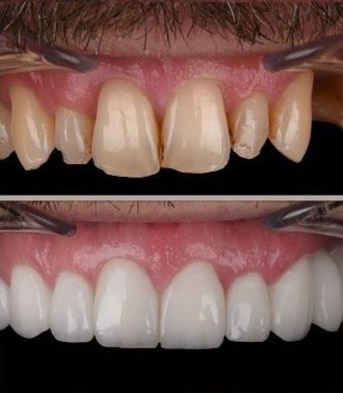
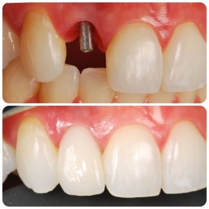
لیست نمونه کار ها