نمونه کارهای
ایمپلنت فول فک
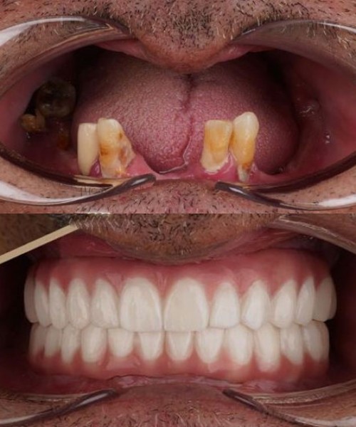
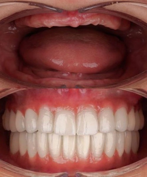
ایمپلنت فول فک یک روش نوین و پیشرفته برای جایگزینی تمام دندانهای از دست رفته در فک بالا یا پایین است. این روش شامل قرار دادن پایههای فلزی از جنس تیتانیوم در استخوان فک است که به عنوان ریشه دندان عمل میکنند. پس از تثبیت پایهها در استخوان، دندانهای مصنوعی با ظاهری طبیعی و عملکردی مشابه دندانهای واقعی به آنها متصل میشوند. این روش به دلیل توانایی در حفظ سلامت استخوان فک و جلوگیری از تحلیل آن، به یک انتخاب محبوب برای افرادی تبدیل شده که به دنبال یک راه حل دائمی و راحت برای جایگزینی دندانهای خود هستند. ایمپلنت فول فک علاوه بر بهبود عملکرد جویدن، اعتماد به نفس فرد را با بازگشت لبخند طبیعی و زیبا بهبود میبخشد.

چرا ایمپلنت فول فک انجام بدیم؟
ایمپلنت فول فک یکی از بهترین راهحلها برای جایگزینی تمام دندانهای از دست رفته است. این روش نه تنها به بازگشت زیبایی و طبیعی بودن لبخند کمک میکند، بلکه عملکرد جویدن و صحبت کردن را نیز بهبود میبخشد.
طبیعی تر شدن ظاهر دندانها
ایمپلنتهای دندان به گونهای طراحی شدهاند که دقیقاً شبیه دندانهای طبیعی به نظر میرسند و به خوبی با سایر دندانها ترکیب میشوند، بنابراین هیچگونه تفاوتی در ظاهر دهان شما ایجاد نمیکنند.
عملکرد بهتر و راحتتر
ایمپلنتهای فول فک به شما این امکان را میدهند بدون نگرانی از حرکت دندانهای مصنوعی، مانند دندانهای طبیعی خود غذا بخورید و صحبت کنید.
دائمی بودن
ایمپلنتهای دندان به طور دائمی در فک قرار میگیرند و برخلاف دندانهای مصنوعی، نیازی به تعویضهای مداوم ندارند. این ویژگی باعث میشود که ایمپلنتها گزینهای پایدار و طولانیمدت برای بازگرداندن عملکرد و زیبایی دندانها باشند.
حفظ سلامت استخوان فک
ایمپلنتها با تحریک استخوان فک، به حفظ سلامت و استحکام آن کمک میکنند و از تحلیل رفتن استخوان جلوگیری میکنند.

چه کسانی کاندیدای مناسب ایمپلنت فول فک هستند؟
ایمپلنت فول فک برای افرادی که از چندین دندان یا تمامی دندانهای فک خود را از دست دادهاند و به دنبال یک راه حل دائمی هستند، مناسب است. همچنین، برای کسانی که به دلیل تحلیل استخوان فک یا مشکلات دیگر، قادر به استفاده از پروتزهای معمولی نیستند، این روش گزینهای بسیار عالی به شمار میرود.
- بیدندانهای کامل یا تقریباً کامل
- افرادی که به دنبال راهحلی ثابت و دائمی هستن
- داشتن حجم کافی استخوان فک (یا قابل بازسازی بودن آن)
- سلامت عمومی خوب
- عدم مصرف دخانیات
- رعایت بهداشت دهان و دندان
- انتظارات واقعبینانه از نتیجه درمان
مراحل انجام ایمپلنت فول فک در مرکز تخصصی دکتر محمودی
فرایند ایمپلنت فول فک در مرکز تخصصی دکتر محمودی به صورت کاملاً حرفهای و با دقت بالا انجام میشود. مراحل این فرایند عبارتند از:
1. مشاوره اولیه
اولین گام برای دریافت خدمات ایمپلنت فول فک، مشاوره تخصصی است. در این جلسه، دکتر محمودی پس از بررسی وضعیت سلامت دهان و دندان شما، بهترین برنامه درمانی را تعیین خواهد کرد.
2. تصویر برداری و طراحی ایمپلنت
پس از مشاوره، با استفاده از تکنولوژیهای پیشرفته مانند سیتیاسکن و تصویربرداری دیجیتال، طراحی دقیق ایمپلنت انجام میشود.
3. جراحی قرار دادن ایمپلنتها
در این مرحله، ایمپلنتهای دندانی در فک شما قرار میگیرند. این جراحی به صورت بسیار دقیق و با حداقل درد و خونریزی انجام میشود.
4. ترمیم و مراحل بعد از جراحی
پس از قرار دادن ایمپلنتها، فرآیند ترمیم شروع میشود. این دوره ممکن است چند ماه طول بکشد تا ایمپلنتها به طور کامل با استخوان فک شما جوش بخورند.
5. قرار دادن دندانهای مصنوعی نهایی
پس از جوش خوردن ایمپلنتها، دندانهای مصنوعی بر روی آنها قرار میگیرد و شما میتوانید از دندانهای جدید و کامل خود استفاده کنید.

مزایای مرکز تخصصی دکتر محمودی برای ایمپلنت فول فک
مرکز تخصصی دکتر محمودی با تخصص و تجربه بالا در انجام ایمپلنت فول فک، از جدیدترین تجهیزات و تکنولوژیها برای ارائه درمانی دقیق و موثر استفاده میکند. با توجه به محیط آرام و حرفهای مرکز تخصصی، بیماران میتوانند از خدمات مشاوره رایگان و شرایط پرداخت انعطافپذیر بهرهمند شوند، تا تجربهای راحت و با اطمینان از درمان خود داشته باشند.
تخصص و تجربه بالا: دکتر محمودی با سالها تجربه در درمانهای ایمپلنت دندان و استفاده از تکنیکهای پیشرفته، به یکی از متخصصان برجسته در این حوزه تبدیل شده است.
استفاده از تجهیزات پیشرفته: در مرکز تخصصی دکتر محمودی از تجهیزات بهروز و تکنولوژیهای دیجیتال مانند اسکن سهبعدی و طراحی ایمپلنتهای دقیق استفاده میشود تا نتایج درمانی بهطور چشمگیری بهبود یابد.
قیمتهای رقابتی و شرایط پرداخت مناسب: مرکز تخصصی دکتر محمودی علاوه بر ارائه خدمات با کیفیت، شرایط پرداخت مناسب و قیمتهای رقابتی را برای راحتی بیماران فراهم کرده است.
محیط آرام و حرفهای: فضای مرکز تخصصی بهگونهای طراحی شده که بیماران در یک محیط آرام و بدون استرس، درمانهای خود را دریافت کنند.
مقایسه ایمپلنت فول فک با روشهای دیگر
ایمپلنت فول فک یکی از روشهای پیشرفته برای جایگزینی کامل دندانهای از دست رفته در یک یا هر دو فک است. برای درک بهتر مزایا و معایب این روش، میتوان آن را با سایر گزینههای درمانی جایگزینی دندان مقایسه کرد.
ایمپلنت فول فک یا پروتز متحرک دندان
| مقایسه | ایمپلنت فول فک | پروتز متحرک |
| ثبات و راحتی | ثابت است و مانند دندان طبیعی عمل میکند | متحرک است و ممکن است لق بزند |
| قدرت جویدن | قدرت جویدن نزدیک به دندان طبیعی | قدرت جویدن محدود و ضعیف تر از دندان طبیعی |
| تحلیل استخوان فک | از تحلیل ستخوان جلوگیری میکند | باعث تحلیل استخوان میشود |
| طول عمر | در صورت مراقبت صحیح طول عمر بالا | نیاز به تعویض هر چند سال یکبار |
| احساس و زیبایی | طبیعی تر به نظر میرسد و حس بهتری دارد | ممکن است حجیم و غیر طبیعی به نظر برسد |
| هزینه | گران تر ولی ارزشمند تر در بلند مدت | ارزان تر است |

هزینه ایمپلنت فول فک در مرکز تخصصی دکتر محمودی
هزینه ایمپلنت فول فک بسته به شرایط فردی شما و نوع ایمپلنت مورد استفاده متفاوت خواهد بود. در مرکز تخصصی دکتر محمودی، ما خدمات خود را با قیمتی مناسب و در دسترس شما ارائه میدهیم. جهت دریافت اطلاعات بیشتر و مشاوره رایگان، میتوانید با ما تماس بگیرید.
انتخاب یک مرکز تخصصی حرفهای برای ایمپلنت فول فک، مهمترین تصمیم شماست. در مرکز تخصصی زیبایی ما، ما به شما تیمی از متخصصین با تجربه، تکنولوژیهای پیشرفته و محیطی آرام و دلپذیر ارائه میدهیم. اما چیزی که ما را متمایز میکند، تعهد ما به رضایت شماست. ما از لحظهای که وارد مرکز تخصصی میشوید تا زمانی که با لبخندی بینقص از ما خداحافظی میکنید، در کنار شما هستیم.
.jpg)

دیدگاه کاربران
نظرات
هومن رستگار
۱۴۰۴/۰۲/۲۰
فرم ارسال پاسخ
ایمپلنت فول فک پیش دکتر محمودی انجام دادم خیلی عالی پیش رفت. مرکز تخصصی تمیز،لوکس و دکتر محمودی صبور و دلسوز هستن هیچ درد و استرسی نداشتم و رضایت کامل دارم.
ساناز پوریان
۱۴۰۴/۰۲/۲۰
فرم ارسال پاسخ
چند ماه پیش برای ایمپلنت فول فک رفتم پیش دکتر محمودی واقعا تجربه فوقالعادهای بود. ابتدا همه چیز رو برام توضیح دادن و محیط مرکز تخصصی هم خیلی آرامشبخش و شیک بود.حالا لبخندم کاملاً طبیعی شده و دیگه راحت می خندم
ثریا کردبچه
۱۴۰۴/۰۲/۲۰
فرم ارسال پاسخ
تجربه من از ایمپلنت فول فک پیش دکتر محمودی خیلی خوب بود. فکر میکردم درد زیادی داشته باشم ولی خلاف تصور من درمان خیلی راحت و بدون درد پیش رفت. الان دندانهام کاملاً طبیعی شده به همه پیشنهاد میکنم.
داریوش مهرپرور
۱۴۰۴/۰۲/۲۰
فرم ارسال پاسخ
تمامی خدمات عالی بود رضایت کامل داشتم
پوران چمنی
۱۴۰۴/۰۲/۲۰
فرم ارسال پاسخ
همه چیز عالی بود خصوصا اخلاق متواضع دکتر و تبحر کاملشون
سیاوش زند
۱۴۰۴/۰۲/۲۰
فرم ارسال پاسخ
ایمپلنت فول فک انجام دادم همه مراحل درمان با دقت و حوصله انجام شد، واقعاً خیلی راضی هستم
سوران طهماسبی
۱۴۰۴/۰۲/۲۰
فرم ارسال پاسخ
برای ایمپلنت فول فک مراجعه کردم مراحل درمانم داره طی میشه تا به اینجا همه چیز خوب بوده تخصص ایشون حائز اهمیت هستش سپاس
محمدحسین جوادیان
۱۴۰۴/۰۷/۰۳
فرم ارسال پاسخ
تیم اقای دکتر بسیار حرفه ای، شریف، دلسوز و پیگیر هستند. منشی های مطب با صبر تمام سوالات شمارو تلفنی جواب داده راهنماییتون میکنم. من با صحبت با بالای ده کلینیک این مرکزو انتخاب کردم. با ورودتون محیطی اروم و دلنشین با برخورد بسیار خوب به شما ارامش میده. من 16 واحد ایمپلنت دارم که امروز 8 تای اولو بدون کمترین اذیت پشت سر گذاشتم. اقای دکتر بسیار خوش برخورد و با ارامش امپول هایذبی حسی منو زدند که احساس نکردم و برای بیمار وقت میگذارند. واقعا حس نمی کنید فقط دنبال تموم کردن کار و گرفتن پول هستند حتی دستیاران اقای دکتر بسیار حرفه ای عمل میکنند. من الان 8 ساعت از جراحیم گذشته بدون کمترین درد و خونریزی هستم. واقعا پشیمون نمیشید از انتخاب این تیم حرفه و کاربلد ضمنا از لحاظ پرداخت قیمت و تخفیف بسیار با بیمار راه میان. بی اغراق بهترین کلینیک کاملا کاربلد به شما احساس ارامش خاصی در تمام زمینه ها میدهند
فرم ارسال نظر
فرم ارسال نظر